Chẩn đoán ASF - Không chỉ là đọc kết quả trong phòng xét nghiệm
Cập nhật: 2/2/2023 | 12:13:21 PM
Bệnh dịch tả heo châu Phi là một bệnh do virus nghiêm trọng trên heo ở mọi lứa tuổi. Trong những năm gần đây, nó đã tàn phá ngành chăn nuôi heo ở nhiều quốc gia khác nhau. ASF thực sự lây lan khá chậm và có thể hạn chế sự lây lan theo địa lý của nó bằng các chiến lược thích hợp. Chẩn đoán xác định sớm là yếu tố then chốt để tránh lây lan. Có thể được thực hiện chẩn đoán ban đầu tại hiện trường về bệnh dịch tả heo châu Phi từ các dấu hiệu lâm sàng và các bệnh tích mổ khám.
Dấu hiệu lâm sàng:
Trong giai đoạn ban đầu của bệnh, heo thường được phát hiện chết siêu cấp tính và bị tím tái ở chân, tai và các điểm mút. Thường heo sốt cao 40 - 42°C, nôn mửa, tiêu chảy có thể lẫn máu hoặc phân đen (Ảnh 1, phải), suy kiệt, sảy thai (Ảnh 1, trái), chảy nước mũi có máu (chảy máu cam) và số ca chết ngày càng nhiều.

Ảnh 1. Sảy thai hàng loạt (trái) và tiêu chảy ra máu ở heo nái (phải).
Các chủng độc lực thấp (từ vaccine) có gây ra một dạng bệnh mãn tính nhẹ không điển hình với một số ca chết. Heo cái nói chung có biểu hiện bệnh đường hô hấp mãn tính và vô sinh mãn tính. Trại quan sát thấy số heo nhiễm virus mãn tính do vaccine mất thời gian lâu hơn để biểu hiện bệnh rõ ràng hoặc không có các dấu hiệu lâm sàng và tự giải thích hiện tượng này là thời gian ủ bệnh dài.
Bệnh tích mổ khám
- Nắp thanh quản và khí quản có thể đỏ lên, và có viêm phổi kẽ với phù nề giữa các tiểu thùy. Đôi khi có viêm phổi màng phổi hoại tử xơ tương tự như APP.
- Có thể có viêm xơ cơ tim và viêm màng bao tim, xoang ngực và bụng có thể chứa rất nhiều máu hoặc dịch thanh mạc.
- Các hạch bạch huyết mạc treo ruột và đặc biệt là các hạch dạ dày-gan có thể to ra, phù nề và có xuất huyết hoại tử trên bề mặt vết cắt (Ảnh 2).
- Lá lách có thể to ra với nhiều ổ nhồi huyết hoặc có thể bình thường.
- Gan thường chứa các khối xuất huyết thấy rõ.
- Thận có thể có nhiều ổ nhồi huyết, xuất huyết đốm và xuất huyết điểm (Ảnh 3). Có thể có phù quanh thận nổi bật.
- Đáy vị dạ dày thường bị đỏ và bào mòn nghiêm trọng, và tràng xoắn (spiral colon) có thể chứa đầy máu. Không có gì lạ khi phát hiện những vết xuất huyết điểm trên nội tạng xoang bụng.
- Viêm xơ màng não có thể thấy rõ.

Ảnh 2. Xuất huyết và hoại tử ở hạch dạ dày-gan.

Ảnh 3. Phù và xuất huyết chấm xuất huyết ở thận.
Mức độ nghiêm trọng của các bệnh tích trên heo là khác nhau và người ta thường cho rằng nên mổ nhiều heo.
Cần thực hiện mổ khám với các hiểu biết chuyên môn về an toàn sinh học, nhưng việc mổ khám không mang bệnh lạ xâm nhập vào trại hiện đang nhiễm bệnh và nó cũng cung cấp được thông tin có giá trị mà các phương pháp chẩn đoán ít xâm lấn hơn không thể mang lại.
Kỹ thuật phòng xét nghiệm
PCR: Chẩn đoán ASF thường được xác minh bằng xét nghiệm axit nucleic dương tính và loại trừ các nguyên nhân phổ biến khác của các bệnh tích tương tự. Phổ biến nhất là PCR đối với gen P72. Phổi (mẫu được ưu tiên trong phòng xét nghiệm của chúng tôi), thận, lá lách, hạch bạch huyết, huyết thanh và máu đều là những mẫu xét nghiệm lí tưởng cho PCR. Mẫu phết miệng và dịch xoang miệng rất phổ biến nhưng số lượng virus ít hơn vài log so với trong máu và mô, do đó, kết quả âm tính giả khá phổ biến. qPCR huỳnh quang và PCR truyền thống được sử dụng để xét nghiệm. Phương pháp PCR truyền thống thì giúp quy trình giải trình tự gen sau đó thuận tiện hơn.
Khi vaccine đã xóa gen đã được sử dụng một cách có chủ ý hoặc biến thể của dòng virus đã xóa gen được đưa vào một cách vô tình, xét nghiệm axit nucleic có thể không phát hiện được ở một số con heo vì số lượng virus được tạo ra thấp hơn nhiều so với virus tự nhiên. Tuy nhiên, nếu có sẵn các mẫu thích hợp từ mô hoặc máu, có thể thực hiện xét nghiệm axit nucleic để tìm các gen đã bị xóa của virus vaccine. Sau khi xét nghiệm dương tính với gen P72, có thể thực hiện xét nghiệm PCR đối với vaccine đã xóa gen để tìm kiếm sự hiện diện của DNA từ MGF 360 - 505 R và CD2v để xác định xem virus gây ra vấn đề là virus thực địa hay virus vaccine đã xóa gen. .
Khuếch đại DNA đẳng nhiệt qua trung gian vòng (LAMP) cung cấp một giải pháp thay thế axit nucleic nhanh chóng, rẻ, linh hoạt và cực kỳ nhạy, đòi hỏi ít thiết bị chuyên dụng và dường như được ưa chuộng để kiểm tra hàng loạt như giám sát/sàng lọc tại thời điểm giết mổ.
Huyết thanh học có thể được sử dụng để xác định xem heo có tiếp xúc với virus ASF hay không khi thời gian từ khi nhiễm bệnh đến khi xét nghiệm đã đủ lâu mà giai đoạn virus huyết và thời điểm virus hiện diện trong các mô đã trôi qua, hoặc trong trường hợp không có mẫu bệnh phẩm mổ khám.
Có một số bộ kit ELISA có sẵn để tìm kiếm sự hiện diện của kháng thể đối với P72, P30 và các kháng nguyên ASF khác. Bộ dụng cụ xét nghiệm như vậy thường được sử dụng để xác định và loại bỏ các nhóm heo cái đã được tiêm chủng có chủ ý hoặc vô tình phơi nhiễm với virus vaccine.
Có một xét nghiệm thẻ ELISA bắt kháng nguyên, nhưng nó thiếu độ nhạy nghiêm trọng, và việc sử dụng nó thường bị giới hạn ở những trường hợp mong muốn có kết quả âm tính giả nhanh chóng.
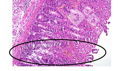
Khi kiểm tra mô bệnh học, thấy có viêm mạch lan toả và nhồi huyết, xuất huyết và huyết khối ở nhiều cơ quan, đặc biệt là phổi, lá lách, hạch bạch huyết, thận, não và ruột. Lymphoid bị phá hủy trong các hạch bạch huyết và lá lách, và hình thành không bào trong các đại thực bào phế nang. Thường gặp hiện tượng hoại tử và loét biểu mô đại tràng (Ảnh 4).

Ảnh 4. Huyết khối mạch máu, nhồi máu, loét niêm mạc đại tràng.
Việc sử dụng mô bệnh học để xác minh các bệnh tích mãn tính điển hình của vaccine đã xóa gen có thể rất hữu ích. Những con heo đã được tiêm các loại vaccine ASF đó thường sẽ có các bệnh tích mạch máu mãn tính bao gồm huyết khối và nhồi huyết ở ruột, gan, mô bạch huyết, tim và thận. Các hạch bạch huyết có thể có các vùng xuất huyết, hoại tử, hủy lympho và các vùng xơ hóa và đang lành lại. Heo giống đã được tiêm phòng có thể bị hoại tử phổi và xơ hóa nhiều vùng nên thường bị nhầm với APP mãn tính. Virus vaccine có thể không giết chết heo nhưng heo thường không thể tự loại bỏ virus vaccine.
Nên nhớ rằng PCR là một công cụ tuyệt vời nhưng không phải là không thể sai lầm, và liên quan với tình hình thực tế ở trại, nó không chính xác 100%. Điều này không có nghĩa là PCR không đáng tin cậy. Nhưng vẫn phải lưu ý, kết quả PCR là kết quả xét nghiệm chẩn đoán không phải là chẩn đoán. Bác sĩ chẩn đoán là một nhà điều tra và phải sử dụng tất cả các công cụ theo chủ đích của mình. Khi nghi ngờ ASF, một số biện pháp trong an toàn sinh học được chỉ định như thường lệ, và thậm chí còn hơn thế nữa. Nhưng vẫn có một số bệnh có biểu hiện giống ASF, và nói chung cần chẩn đoán nguyên nhân thực sự của vấn đề ngoài việc xét nghiệm âm tính với ASF, có thể cần can thiệp bằng quan sát nhiều hơn so với việc mổ lấy một cái hạch bẹn hoặc mở rộng lá lách qua một vết rạch.
Tác giả: Edgar Wayne Johnson
Nguồn: Pig333.com


